Síndrome do nariz vazio
- Dra. Danielly Andrade

- 30 de nov. de 2021
- 3 min de leitura
Atualizado: 5 de jan. de 2023
O que é a Síndrome do Nariz Vazio?
A síndrome do nariz vazio é uma condição muito desagradável caracterizada por um nariz seco e aberto que escorre e parece bloqueado. Os pacientes reclamam amargamente de obstrução nasal, enquanto o médico insiste que ela está aberta. O nariz parece seco e com crostas ao exame, mas drena constantemente. Normalmente, os cornetos inferiores são pequenos, atróficos ou ausentes cirurgicamente. A síndrome do nariz vazio é mais comum em pessoas que fizeram cirurgia nasal, como turbinectomia.
O que são os cornetos nasais?
Os cornetos ou conchas nasais são estruturas vasculares macias dentro do nariz que aquecem e umedecem o ar antes que ele alcance os pulmões. Os cornetos saudáveis incham quando o ouvido está frio e secretam mais água quando o ar está seco.
O que causa a síndrome do nariz vazio?
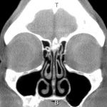
Os cornetos encolherão se o ar estiver quente e secretarão menos muco se o ar estiver úmido. A imagem abaixo mostra um nariz com cornetos saudáveis. Eles aparecem como estruturas cinzentas e encaracoladas em ambos os lados da linha média do septo nasal.

Se as conchas inferiores são removidas cirurgicamente, o ar flui livremente pelas passagens nasais cavernosas, evaporando o muco da área de superfície limitada. A mucosa nasal sente o ar frio e seco e tenta inchar e secretar mais muco. Se os cornetos estiverem ausentes ou não estiverem funcionando, eles nunca atingirão o objetivo de aquecer e umidificar o ar.
O tecido nasal remanescente continua a inchar e a secretar cada vez mais fluido até começar a gotejar e drenar. O paciente tem a percepção de um inchaço, que ele descreve como congestão nasal, embora o ar esteja se movendo. O muco eventualmente escorre do nariz e drena para a garganta, embora a cavidade nasal esteja seca e com crostas.
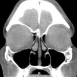
A imagem do paciente mostrado abaixo foi submetida a septoplastia com ressecção agressiva de concha na década de 1980. Esse era um procedimento popular na época, mas foi abandonado na década de 1990 devido à alta incidência da síndrome do nariz vazio. Os cornetos inferiores estão ausentes e os médios estão inchados, contribuindo para um nariz bem aberto e seco, que se sente entupido e goteja constantemente.

O envelhecimento é uma causa natural da Síndrome do Nariz Vazio. Se os cornetos começarem a perder volume ou se as glândulas mucosas secretarem mal, o nariz novamente ficará seco e gotejante, como se os cornetos tivessem sido aparados cirurgicamente. Isso é chamado de "rinite atrófica".
Qual o tratamento para síndrome do nariz vazio?
O tratamento da síndrome do nariz vazio é difícil, porque o tecido ausente não é facilmente substituído. Lavagem nasal com água salgada (soro fisiológico) e vaselina podem ajudar a proteger o revestimento interno do nariz de secar, enquanto sprays nasais de esteroides podem reduzir o inchaço em outras partes do nariz. Às vezes, um agente secante como o spray nasal de brometo de ipratrópio pode reduzir o gotejamento excessivo.
As conchas nasais podem ser hipertróficas no lado oposto ao desvio do septo nasal ou podem ser tão grandes que bloqueiam a drenagem ou o acesso cirúrgico aos seios da face. Se as reduções de cornetos forem necessárias com septoplastia ou cirurgia do seio nasal, a cirurgia deve ser o mais conservadora possível para reduzir o risco de nariz vazio. O otorrinolaringologista também deve tentar tratamento clínico antes de reduzir cirurgicamente os cornetos hipertróficos.



